Tendinopatia e rotura dos isquiotibiais
- 28 de jun. de 2019
- 5 min de leitura
História clínica
Mulher de 67 anos apresentando dor na região isquiática esquerda, com piora recente. Solicitada ressonância magnética (RM) do quadril esquerdo:
Figura 1 (a-f): Imagens consecutivas do quadril esquerdo no plano axial na ponderação T2 com supressão de gordura.
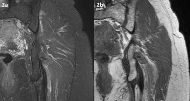
Figura 2 (a-b): Imagens do quadril esquerdo no plano coronal nas ponderações T2 com supressão de gordura (2a) e T1 (2b).
Figura 3 (a-c): Imagens consecutivas do quadril esquerdo no plano sagital na ponderação T2 com supressão de gordura.
Descrição dos achados:
Figura 1 (a-f)’: Imagens consecutivas do quadril esquerdo no plano axial na ponderação T2 com supressão de gordura mostrando tendinopatia com lesão parcial na origem do semimembranoso (seta azul) e indefinição da origem conjunta do bíceps femoral e semitendinoso (seta laranja) na figura 1a’ com líquido em correspondência. Nas demais imagens é possível identificar o tendão semimembranoso espessado e com sinal heterogêneo, por tendinopatia (setas azuis) e a tendinopatia com rotura de grande parte das fibras dos tendões bíceps femoral e semitendinoso (setas amarelas) com edema adjacente. Note o aumento do sinal do ligamento sacrotuberoso (seta verde) e a tendinopatia do adutor magno (setas vermelhas).
Figura 2 (a-b)’: Imagens do quadril esquerdo no plano coronal nas ponderações T2 com supressão de gordura (2a) e T1 (2b) mostrando a tendinopatia com rotura de grande parte das fibras na origem dos tendões bíceps femoral e semitendinoso (setas amarelas) e a tendinopatia com lesão parcial do tendão semimembranoso (setas azuis).
Figura 3 (a-c)’: Imagens consecutivas do quadril esquerdo no plano sagital na ponderação T2 com supressão de gordura mostrando o tendão semimembranoso espessado e heterogêneo (seta azul), tendinopatia com rotura de grande parte das fibras na origem dos tendões bíceps femoral e semitendinoso (seta amarela) e o aumento do sinal do ligamento sacrotuberoso (seta verde) junto à origem conjunta do bíceps femoral e semitendinoso (seta laranja), onde há descontinuidade das fibras com líquido em correspondência.
Discussão
Os tipos mais comuns de lesão dos isquiotibiais dependem da idade do paciente:
• Crianças e adolescentes – avulsão da apófise isquiática
• Adulto jovem (após fechamento da fise) – rotura traumática na junção miotendínea
• Adulto mais velho – tendinopatia e rotura tendínea traumática ou espontânea (geralmente na origem e associada a sinais de tendinose)
É fundamental o conhecimento da anatomia da tuberosidade isquiática para o reconhecimento e descrição correta das alterações.
Anatomia da tuberosidade isquiática:
A tuberosidade isquiática é formada a partir de uma apófise, a apófise isquiática, que começa a ossificar entre 14 e 16 anos e geralmente se funde ao ísquio entre 18 e 21 anos.
Os tendões isquiotibiais (“harmstrings”, antigamente denominados tendões do jarrete*) são formados pelos tendões bíceps femoral (cabeça longa), semitendinoso e semimembranoso (figura 4).
Os tendões bíceps femoral e semitendinoso possuem uma origem óssea comum na faceta inferomedial (horizontal) adjacente e posterior à origem do tendão semimembranoso na faceta superolateral (oblíqua) da tuberosidade isquiática.
Figura 4: Representação esquemática dos isquiotibiais, composto pela cabeça longa do bíceps femoral, semitendinoso e semimembranoso, modificada do site http://clinica-ilion.com.
O adutor magno tem duas porções, com ações e inervação distintas:
• Pubofemoral - se origina no ramo isquiopubiano e se insere na linha áspera do fêmur, é inervada pela divisão posterior do nervo obturador e age como adutor e rotador interno do quadril.
• Isquiocondilar - se origina na porção inferior da tuberosidade isquiática e se insere no tubérculo dos adutores no côndilo femoral medial, é inervada pela divisão tibial do nervo ciático e age principalmente como extensor do quadril.
Como a porção isquiocondilar do adutor magno tem a mesma inervação e ação dos tendões isquiotibiais, alguns autores a consideram como parte do complexo “harmstring”, conhecido também como “mini harmstring”.
Na figura 5 é possível identificar os locais da origem dos isquiotibiais e do adutor magno:
Figura 5: Reconstrução tomográfica 3D da bacia, visão posterior, mostrando o local da origem dos isquiotibiais e do adutor magno. O semimembranoso (azul) tem origem na faceta superolateral (oblíqua). A origem conjunta do bíceps femoral e semitendinoso (amarelo) na faceta inferomedial (horizontal) é mais posterior ao semimembranoso. O adutor magno tem duas porções, uma delas é conhecida como “mini harmstring” e tem origem inferior aos isquiotibiais (vermelho). A porção pubofemoral do adutor magno se origina no ramo isquiopubiano (rosa). Na tuberosidade isquiática contralateral é possível identificar as facetas que formam o “footprint” de cada tendão (setas).
O ligamento sacrotuberoso funciona como estabilizador da articulação sacroilíaca, se originando no sacro, ílio e cóccix com suas fibras convergindo para se inserir na margem medial da tuberosidade isquiática. É local de inserção de fibras do músculo glúteo máximo proximalmente e distalmente se funde com as fibras conjuntas dos tendões bíceps femoral e semitendinoso (figura 6). Nas roturas dos isquiotibiais a retração dos tendões bíceps femoral e semitendinoso está intimamente relacionada com a perda da continuidade com o ligamento sacrotuberoso e com lesões associadas do tendão semimembranoso.
Figura 6: Representação esquemática da tuberosidade isquiática no plano sagital mostrando a inserção óssea (setas pequenas) do ligamento sacrotuberoso (STu) em verde e a sua inserção que se funde (setas grandes) com as fibras da origem conjunta do bíceps femoral e semitendinoso (BF/ST).
O plano axial é o que melhor demonstra as diversas estruturas que se originam e se inserem na tuberosidade isquiática:
Figura 7 (a-h): Imagens consecutivas da bacia no plano axial na ponderação T1 demonstrando a origem do ligamento sacrotuberoso (setas verdes) no sacro (7a) e depois a sua relação com o músculo glúteo máximo (Gmax) nas figuras 7b e 7c. No plano da tuberosidade isquiática (TI) o ligamento sacrotuberoso começa a se fundir com a origem conjunta do bíceps femoral e o semitendinoso (setas amarelas). Note também a origem do tendão semimembranoso (setas azuis) e do adutor magno (setas vermelhas). Na figura 7h é possível identificar no lado direito a junção miotendínea do adutor magno (seta branca).
*O temo “jarrete”, usado também para descrever a região logo acima da curva das patas de animais como cavalo e bois, vem do verbo “jarretear”, que consistia na prática de guerra de cortar os tendões do jarrete do cavalo do inimigo para impedi-lo de andar.
Pontos principais neste caso:
- Na tuberosidade isquiática não tem apenas os tendões isquiotibiais; é importante também analisar o adutor magno e o ligamento sacrotuberoso.
- Nos pacientes mais velhos pode haver rotura espontânea ou após esforços leves quando há tendinopatia. Se houver lesão do ligamento sacrotuberoso pode haver retrações maiores do tendão conjunto do bíceps femoral e semitendinoso.
LEITURA SUGERIDA
Broski SM, Murthy NS, Krych AJ, Obey MR, Collins MS. The adductor magnus "mini hamstring": MRI appearance and potentialpitfalls. Skeletal Radiol. 2016;45(2):213-9. doi: 10.1007/s00256-015-2291-5. Epub 2015 Nov 10.
Bierry G, Simeone FJ, Borg-Stein JP, Clavert P, Palmer WE. Sacrotuberous ligament: relationship to normal, torn, and retracted hamstring tendons on MR images. Radiology 2014; 271(1):162-71. doi: 10.1148/radiol.13130702.












