Avulsão da apófise isquiática
- 31 de mai. de 2019
- 6 min de leitura
História clínica
Adolescente do sexo masculino, 14 anos, com dor na região isquiática e terço proximal posterior da coxa durante jogo de futebol. Solicitada ressonância magnética (RM) do quadril direito:
Figura 1 (a-c): Imagens de RM no plano coronal da bacia na ponderação T2 com supressão de gordura (1a) e do quadril direito nas ponderações T2 com supressão de gordura (1b) e T1 (1c).
Figura 2 (a-b): Imagens de RM do quadril direito no plano transversal nas ponderações T2 com supressão de gordura (2a) e T1 (2b).
Figura 3 (a-c): Imagens consecutivas de RM do quadril direito no plano sagital na ponderação T2 com supressão de gordura.
Após dois meses foi solicitada tomografia computadorizada de controle da bacia:
Figura 4 (a-c): Reconstruções tomográficas da bacia com a técnica MPR nos planos coronal (4a), transversal (4b) e sagital do quadril direito (4c).
Figura 5: Reconstrução tomográfica 3D da bacia.
O adolescente retornou à prática esportiva antes do recomendado e, após três meses, apresentou novo episódio de dor na região posterior proximal da coxa durante jogo de futebol e foram realizados novos exames de RM e TC do quadril direito:
Figura 6 (a-b): Imagens de RM no plano coronal nas ponderações T2 com supressão de gordura (6b) e T1 (6c).
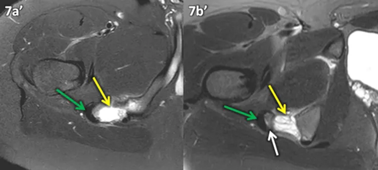
Figura 7 (a-b): Imagens de RM do quadril direito na ponderação T2 com supressão de gordura nos planos transversal (7a) e transversal oblíquo (7b).
Figura 8 (a-c): Imagens consecutivas de RM do quadril direito no plano sagital na ponderação T2 com supressão de gordura.
Figura 9 (a-c): Reconstruções tomográficas da bacia com a técnica MPR nos planos coronal (4a), transversal (4b) e sagital do quadril direito (4c).
Figura 10: Reconstrução tomográfica 3D da bacia.
Descrição dos achados:
Figura 1 (a-c)’: Imagens de RM no plano coronal da bacia na ponderação T2 com supressão de gordura (1a’) mostrando pequena quantidade de líquido (seta amarela) entre os tendões isquiotibiais (seta verde) e a tuberosidade isquiática à direita onde há edema ósseo (setas azuis). Na imagem ampliada do quadril direito na ponderação T2 com supressão de gordura (1b’) é possível identificar que houve pequena avulsão da tuberosidade isquiática (seta branca) na origem dos tendões isquiotibiais (seta verde) com pequena quantidade de líquido entre a tuberosidade e o fragmento (seta amarela). Na ponderação T1 (1c’) nota-se o baixo sinal no ísquio pelo edema ósseo (setas azuis).
Figura 2 (a-b)’: Imagens de RM do quadril direito no plano transversal na ponderação T2 com supressão de gordura (2a’) mostrando o fragmento avulsionado (seta branca) onde se originam os tendões isquiotibiais (seta verde), com pequena quantidade de líquido (seta amarela) entre o fragmento e o ísquio, onde se observa edema ósseo (seta azul). Na ponderação T1 (2b’) nota-se o baixo sinal no ísquio pelo edema ósseo e os tendões isqiotibiais (seta verde).
Figura 3 (a-c)’: Imagens consecutivas de RM do quadril direito no plano sagital na ponderação T2 com supressão de gordura demonstrando o líquido (setas amarelas) entre o ísquio e os tendões isquiotibiais (setas verdes).
Figura 4 (a-c)’: Reconstruções tomográficas da bacia com a técnica MPR após dois meses nos planos coronal (4a’), transversal (4b’) e sagital do quadril direito (4c’) mostrando o pequeno fragmento óssseo avulsionado (setas brancas). Note que nesta idade ainda não houve fusão da apófise da tuberosidade isquiática esquerda (seta vermelha).
Figura 5’: Reconstrução tomográfica 3D da bacia mostrando o fragmento ósseo destacado (seta branca).
Figura 6 (a-c)’: Imagens de RM no plano coronal do quadril na ponderação T2 com supressão de gordura (6a’) e T1 (6b’) mostrando maior quantidade de líquido (setas amarelas) entre os tendões isquiotibiais (setas verdes) e a tuberosidade isquiática onde há edema ósseo (setas azuis). Note que o afastamento entre os tendões isquiotibiais e a tuberosidade isquiática é bem maior em comparação com a figura 1a.
Figura 7 (a-b)’: Imagens de RM do quadril direito na ponderação T2 com supressão de gordura nos planos transversal (7a’) e transversal oblíquo (7b’) mostrando o fragmento avulsionado (seta branca na figura 7b’) onde se originam os tendões isquiotibiais (setas verdes), com maior afastamento e quantidade de líquido (setas amarelas) entre o fragmento e o ísquio.
Figura 8 (a-c)’: Imagens consecutivas de RM do quadril direito no plano sagital na ponderação T2 com supressão de gordura demonstrando o líquido (setas amarelas) entre o ísquio e o fragmento avulsionado (setas brancas).
Figura 9 (a-c)’: Reconstruções tomográficas da bacia com a técnica MPR nos planos coronal (9a’), transversal (9b’) e sagital do quadril direito (9c’) mostrando o pequeno fragmento óssseo avulsionado (setas brancas). Note que permanece com aspecto semelhante a apófise da tuberosidade isquiática esquerda ainda não fusionada (seta vermelha na figura 9a’).
Figura 10’: Reconstrução tomográfica 3D da bacia mostrando o fragmento ósseo destacado (seta branca).
Discussão
Existem dois tipos de epífises, as de pressão e as de tração. As epífises de pressão localizam-se nas extremidades dos ossos longos e são responsáveis pelo crescimento longitudinal do osso. As epífises de tração são também conhecidas como apófises, localizadas nos locais de inserção tendínea, muscular ou ligamentar, que após a fusão contribuem para a formação de protuberâncias ósseas denominadas "tubérculos" ou "tuberosidades". Como as apófises estão envolvidas apenas no crescimento periférico do osso, lesões nas apófises não interferem no crescimento ósseo longitudinal.
A bacia apresenta diversas apófises, onde se inserem os seguintes tendões e músculos (tabela 1 e figura 11):
Tabela 1: Apófises da bacia e suas respectivas origens e inserções miotendíneas.
Figura 11 (a-b): Radiografia da bacia (11a) e reconstrução tomográfica 3D da hemibacia esquerda (11b) mostrando os locais das apófises pélvicas e as respectivas origens e inserções miotendíneas.
A apófise isquiática começa a ossificar entre 14 e 16 anos e geralmente se funde ao ísquio entre 18 e 21 anos. Os músculos isquiotibiais (“harmstring”) se originam na tuberosidade isquiática e são compostos pelo semimembranoso, semitendinoso e cabeça longa do bíceps femoral.
O mecanismo das lesões traumáticas dos isquiotibiais costuma ser a contração excêntrica súbita e vigorosa que afeta o local de maior fragilidade, o que depende da idade do paciente:
• Crianças e adolescentes – apófise isquiática
• Adulto jovem (após fechamento da fise) – junção miotendínea
• Adulto mais velho – tendão (geralmente associado a tendinose)
A fratura por avulsão da apófise isquiática ocorre geralmente em jovens atletas dos 14 aos 25 anos e está frequentemente relacionada à prática de esportes, sendo os mais comuns o futebol (36%) e a ginástica artística (27%), ocorrendo também no tênis e ballet. Sua incidência vem aumentando devido ao maior número de crianças e adolescentes participando de atividades esportivas, sendo atualmente responsável por 10 a 24% das lesões traumáticas em crianças. Normalmente não se associam a alteração do crescimento longitudinal, uma vez estão envolvidas apenas no crescimento periférico do osso.
O estresse repetitivo crônico é um fator de risco para as lesões apofisárias agudas por tração. A estrutura mais comumente envolvida é a placa de crescimento cartilaginosa, ocorrendo separação e retração da apófise parcialmente ossificada.
O tratamento geralmente é conservador, mas o diagnóstico por imagem é importante porque o reconhecimento da alteração vai determinar o momento ideal da volta à prática esportiva para evitar aumento da diastase, o que pode influenciar no tempo de recuperação, prognóstico e tratamento. Embora exista controvérsia em relação ao tratamento cirúrgico, alguns autores consideram como significativas as diastases superiores a 2 cm, quando pode ser considerado o tratamento cirúrgico em casos selecionados.
Ponto principal neste caso:
- Fraturas por avulsão das apófises podem frequentemente passar despercebidas, pois `quando a diastase é discreta mimetiza o espaço normal entre a apófise e o osso.
Por isso, é fundamental sempre considerar a análise bilateral das articulações de crianças e adolescentes com a fise aberta (realizar aquisições bilaterais na TC e pelo menos uma sequência sensível a líquido comparativa contralateral na RM) para evitar falsos negativos.
LEITURA SUGERIDA
Sinikumpu JJ, Hetsroni I, Schilders E, Lempainen L, Serlo W, Orava S. Operative treatment of pelvic apophyseal avulsions in adolescent and young adult athletes: a follow-up study. Eur J Orthop Surg Traumatol. 2018 Apr;28(3):423-429. doi: 10.1007/s00590-017-2074-x.
Longo UG, Ciuffreda M, Locher J, Maffulli N, and Vincenzo Denaro V. Apophyseal injuries in children’s and youth sports. British Medical Bulletin, 2016, 120:139–159 doi: 10.1093/bmb/ldw041.
Rossi F, Dragoni S. Acute avulsion fractures of the pelvis in adolescent competitive athletes: prevalence, location and sports distribution of 203 cases collected. Skeletal Radiol 2001;30(3):127-31.
Stevens MA, El-Khoury GY, Kathol MH et al. Imaging features of avulsion injuries. Radiographics 1999;19(3):655-672.




























Comentários